Distal Radius Fracture Treatment in Dubai
Expert Wrist Care by
Dr. Ehab Aldlyami, Consultant Hand Surgeon
A distal radius fracture—often referred to as a wrist fracture—is one of the most common injuries seen in hand and orthopedic clinics. It usually occurs from a fall onto an outstretched hand and can significantly affect wrist function, grip strength, and daily activities.
At the practice of Dr. Ehab Aldlyami, a Dubai-based consultant orthopedic and hand surgeon, we offer advanced, personalized treatment for distal radius fractures to help patients recover strength, mobility, and confidence.
What Is a Distal Radius Fracture?
Symptoms of a Distal Radius Fracture
The distal radius is the end of the forearm bone closest to the wrist. A break in this area is called a distal radius fracture. It can range from a simple crack to a complex fracture involving joint surfaces.
Common causes include:
- Slipping or falling on an outstretched arm
- Sports injuries
- Car or motorcycle accidents
- Osteoporosis-related fragility fractures in older adults
Typical signs include:
- Immediate wrist pain and swelling
- A visible deformity (crooked or bent wrist)
- Bruising or discoloration
- Limited or painful wrist and hand motion
- Numbness or tingling (if nerves are affected)
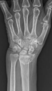
Diagnosis by Dr. Ehab Aldlyami
Distal Radius Fracture Treatment
Dr. Ehab Aldlyami conducts a thorough clinical assessment and uses imaging tools such as X-rays and CT scans to determine:
- The type of fracture (displaced, comminuted, intra-articular, etc.)
- Whether surgery is required
- The best approach for optimal healing
Non-Surgical Management
For minor, non-displaced fractures, Dr. Ehab Aldlyami may recommend:
- Immobilization using a cast or splint for 4–6 weeks
- Regular monitoring with follow-up X-rays
- Referral to hand therapy after healing begins
Surgical Management
For complex or unstable fractures, wrist surgery may be necessary. Dr. Ehab Aldlyami offers:
- Open Reduction and Internal Fixation (ORIF): Using a titanium plate and screws to realign the bone
- Minimally Invasive Techniques: For quicker recovery and minimal scarring
- Arthroscopic Assistance: In selected cases to precisely repair joint surfaces
- External Fixation or Pinning: For highly comminuted or open fractures
Dr. Ehab Bassim Aldlyami’s surgical approach prioritizes function, aesthetics, and early recovery, with a proven record of excellent patient outcomes.
Recovery & Rehabilitation
Recovery timelines vary, but most patients see significant improvement within 6 to 12 weeks. Dr. Aldlyami works closely with licensed hand therapists in Dubai to support your recovery with:
- Custom splints
- Range of motion and strengthening exercises
- Return-to-sport or work programs

